Dr. Stefan Arion
www.smilehub.ro
Navigation
Skip to content
D I G A
Educație medicala sau lipsa ei, nepăsare, delăsare, lipsa de interes?
#spalamdintii #stamacasa
Normalitate
Vechi nu inseamna prost.
Unde nu-i cap, vai de corp
Rezultatul final planuit… o certitudine, nu o surpriza
Din nou despre zambete naturale
The art of crafting teeth
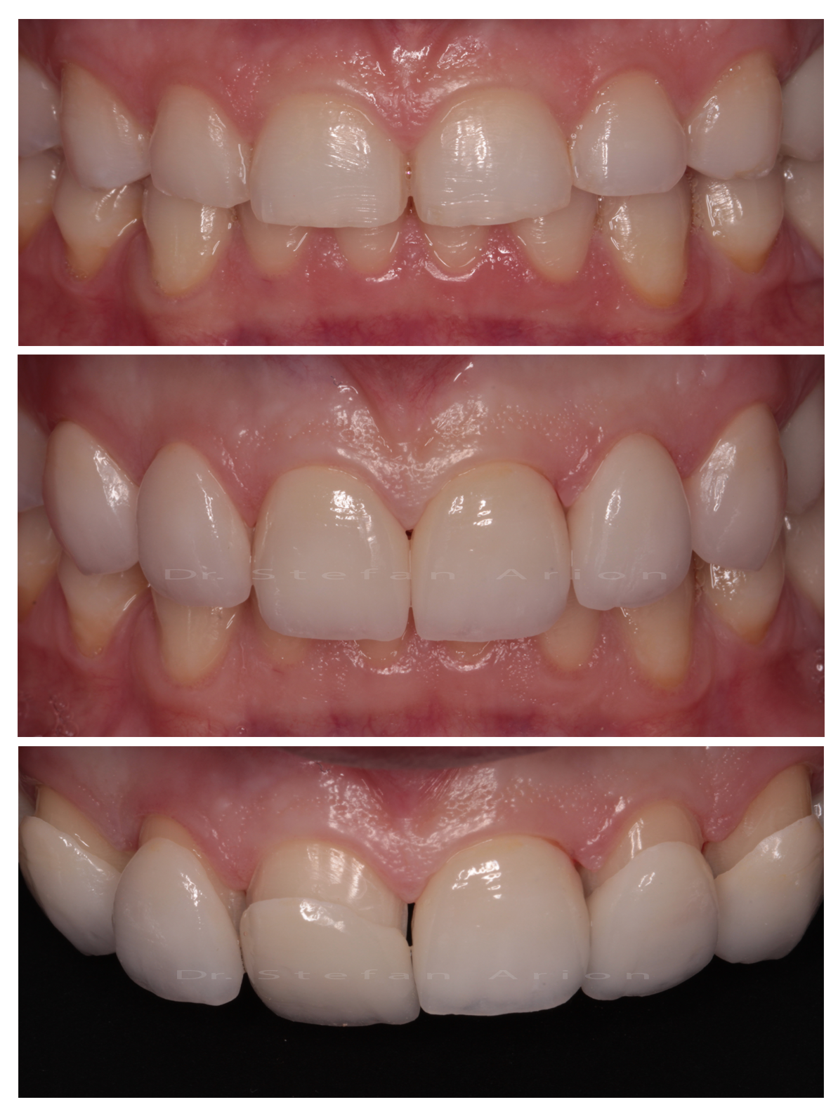
Before & After : indepartare fatete Lumineers si reabilitare orala complexa
Natural, medic multumit, pacient fericit.
Cu rabdare, fara tutun :)
Before & after
Un zambet nou
Before & After
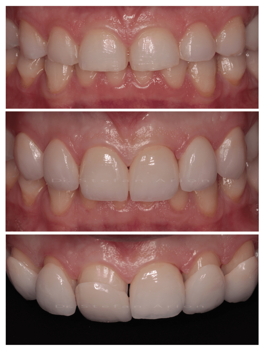
Ph1
Published
11 February 2018
at
1193 × 1587
Leave a comment
Cancel reply
Δ
Privacy & Cookies: This site uses cookies. By continuing to use this website, you agree to their use.
To find out more, including how to control cookies, see here:
Cookie Policy
Comment
Subscribe
Subscribed
Dr. Stefan Arion
Sign me up
Already have a WordPress.com account?
Log in now.
Dr. Stefan Arion
Subscribe
Subscribed
Sign up
Log in
Copy shortlink
Report this content
View post in Reader
Manage subscriptions
Collapse this bar